JavaScript is disabled in your browser. Please enable JavaScript to view this website.

Anti-COPS3/CSN3 antibody(ab229807)

$undefined

Anti-COPS3/CSN3 antibody(ab229807)

Anti-COPS3/CSN3 antibody(ab229807)

Anti-COPS3/CSN3 antibody(ab229807)

Anti-COPS3/CSN3 antibody(ab229807)

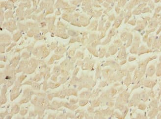
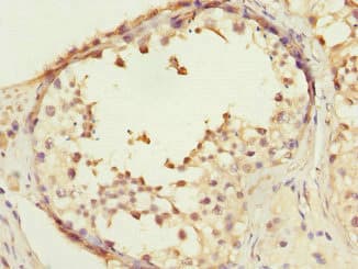
Rabbit Polyclonal COPS3/CSN3 antibody. Suitable for IP, WB, IHC-P and reacts with Human, Mouse samples. Cited in 2 publications. Immunogen corresponding to Recombinant Fragment Protein within Human COP9 signalosome complex subunit 3 aa 150 to C-terminus.
Specifications
Shipped At Conditions Blue Ice
Appropriate Long term Storage Conditions Store at -20°C.
Clonality Polyclonal
Applications IHC-P, IP, WB
Species Reactivity Human, Mouse
Isotype IgG