JavaScript is disabled in your browser. Please enable JavaScript to view this website.

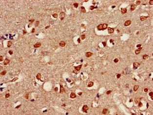
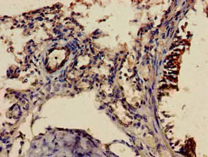
Anti-Shoc2 / Sur8 antibody(ab229805)

$undefined

Anti-Shoc2 / Sur8 antibody(ab229805)

Anti-Shoc2 / Sur8 antibody(ab229805)

Anti-Shoc2 / Sur8 antibody(ab229805)

Anti-Shoc2 / Sur8 antibody(ab229805)

Rabbit Polyclonal Shoc2 / Sur8 antibody. Suitable for WB, IHC-P, ICC/IF and reacts with Human samples. Immunogen corresponding to Recombinant Fragment Protein within Human Leucine-rich repeat protein SHOC-2 aa 1-100.
Specifications
Shipped At Conditions Blue Ice
Appropriate Long term Storage Conditions Store at -20°C.
Clonality Polyclonal
Applications ICC/IF, IHC-P, WB
Species Reactivity Human
Isotype IgG