JavaScript is disabled in your browser. Please enable JavaScript to view this website.

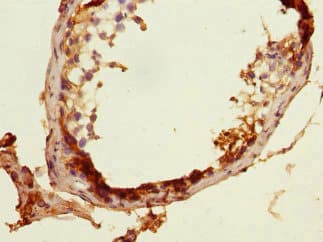
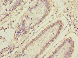
Anti-Myeloid leukemia factor 1 antibody(ab229750)

$undefined

Anti-Myeloid leukemia factor 1 antibody(ab229750)

Anti-Myeloid leukemia factor 1 antibody(ab229750)

Anti-Myeloid leukemia factor 1 antibody(ab229750)

Rabbit Polyclonal Myeloid leukemia factor 1 antibody. Suitable for WB, IHC-P and reacts with Mouse, Human samples. Immunogen corresponding to Recombinant Full Length Protein corresponding to Human Myeloid leukemia factor 1.
Specifications
Shipped At Conditions Blue Ice
Appropriate Long term Storage Conditions Store at -20°C.
Clonality Polyclonal
Applications IHC-P, WB
Species Reactivity Human, Mouse
Isotype IgG