JavaScript is disabled in your browser. Please enable JavaScript to view this website.

Anti-MTHFD1L antibody - C-terminal(ab229708)

$undefined

Anti-MTHFD1L antibody - C-terminal(ab229708)

Anti-MTHFD1L antibody - C-terminal(ab229708)

Anti-MTHFD1L antibody - C-terminal(ab229708)

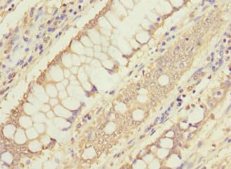
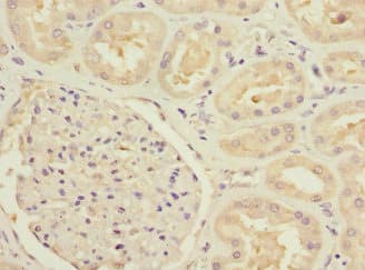
Rabbit Polyclonal MTHFD1L antibody. C-terminal. Suitable for WB, IHC-P and reacts with Human samples. Cited in 2 publications. Immunogen corresponding to Recombinant Fragment Protein within Human MTHFD1L aa 750 to C-terminus.
Specifications
Shipped At Conditions Blue Ice
Appropriate Long term Storage Conditions Store at -20°C.
Clonality Polyclonal
Applications IHC-P, WB
Species Reactivity Human
Isotype IgG