JavaScript is disabled in your browser. Please enable JavaScript to view this website.

Anti-IGF2BP1/IMP1 antibody [EPR18791] - BSA and Azide free(ab229700)

$undefined

Anti-IGF2BP1/IMP1 antibody [EPR18791] - BSA and Azide free(ab229700)

Anti-IGF2BP1/IMP1 antibody [EPR18791] - BSA and Azide free(ab229700)

Anti-IGF2BP1/IMP1 antibody [EPR18791] - BSA and Azide free(ab229700)

Anti-IGF2BP1/IMP1 antibody [EPR18791] - BSA and Azide free(ab229700)

Anti-IGF2BP1/IMP1 antibody [EPR18791] - BSA and Azide free(ab229700)

Anti-IGF2BP1/IMP1 antibody [EPR18791] - BSA and Azide free(ab229700)

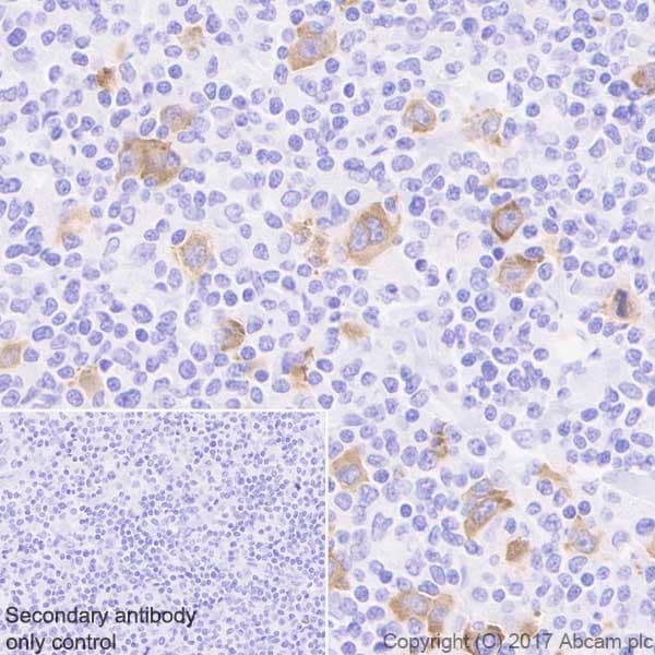
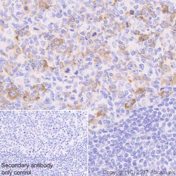
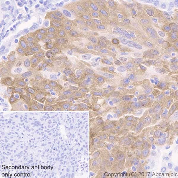
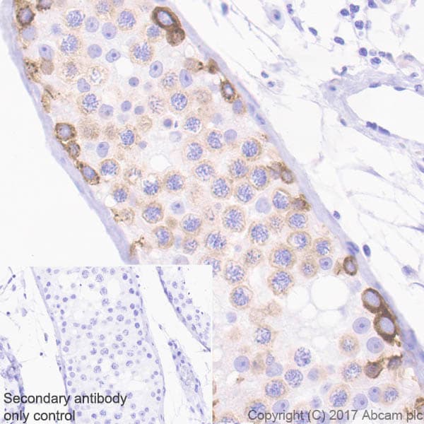
Rabbit Recombinant Monoclonal IGF2BP1/IMP1 antibody. Carrier free. Suitable for IP, WB, IHC-P and reacts with Human samples.
Specifications
Shipped At Conditions Blue Ice
Appropriate Long term Storage Conditions Store at +4°C.
Clonality Monoclonal
Applications IHC-P, IP, WB
Species Reactivity Human
Isotype IgG