JavaScript is disabled in your browser. Please enable JavaScript to view this website.

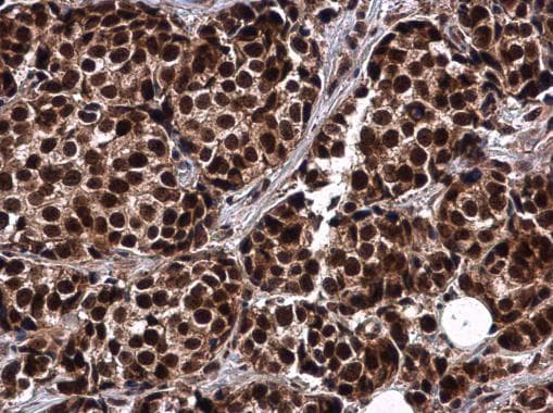
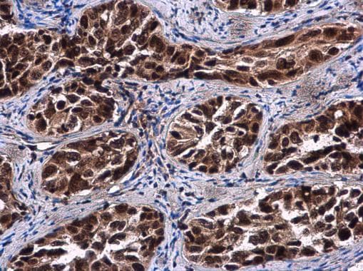
Anti-Rif1 antibody - C-terminal(ab229656)

$undefined

Anti-Rif1 antibody - C-terminal(ab229656)

Anti-Rif1 antibody - C-terminal(ab229656)

Anti-Rif1 antibody - C-terminal(ab229656)

Anti-Rif1 antibody - C-terminal(ab229656)

Anti-Rif1 antibody - C-terminal(ab229656)

Rabbit Polyclonal RIF1 antibody. C-terminal. Suitable for IP, WB, IHC-P, ICC/IF and reacts with Human samples. Cited in 1 publication. Immunogen corresponding to Recombinant Fragment Protein within Human Telomere-associated protein RIF1.
Specifications
Shipped At Conditions Blue Ice
Appropriate Long term Storage Conditions Store at -20°C.
Clonality Polyclonal
Applications ICC/IF, IHC-P, IP, WB
Species Reactivity Human
Isotype IgG