JavaScript is disabled in your browser. Please enable JavaScript to view this website.

Anti-MAT1A antibody(ab229608)

$undefined

Anti-MAT1A antibody(ab229608)

Anti-MAT1A antibody(ab229608)

Anti-MAT1A antibody(ab229608)

Anti-MAT1A antibody(ab229608)

Anti-MAT1A antibody(ab229608)

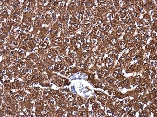
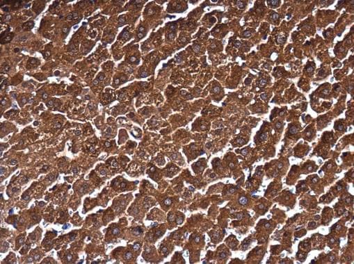
Rabbit Polyclonal MAT1A antibody. Suitable for WB, IHC-P and reacts with Mouse, Rat samples. Immunogen corresponding to Recombinant Fragment Protein within Human S-adenosylmethionine synthase isoform type-1.
Specifications
Shipped At Conditions Blue Ice
Appropriate Long term Storage Conditions Store at -20°C.
Clonality Polyclonal
Applications IHC-P, WB
Species Reactivity Mouse, Rat
Isotype IgG