JavaScript is disabled in your browser. Please enable JavaScript to view this website.

Anti-Y14 antibody(ab229573)

$undefined

Anti-Y14 antibody(ab229573)

Anti-Y14 antibody(ab229573)

Anti-Y14 antibody(ab229573)

Anti-Y14 antibody(ab229573)

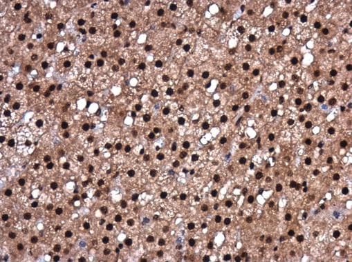
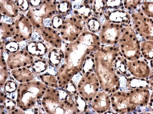
Rabbit Polyclonal Y14 antibody. Suitable for WB, IHC-P, ICC/IF and reacts with Human, Rat samples. Cited in 2 publications. Immunogen corresponding to Recombinant Fragment Protein within Human RNA-binding protein 8A.
Specifications
Shipped At Conditions Blue Ice
Appropriate Long term Storage Conditions Store at -20°C.
Clonality Polyclonal
Applications ICC/IF, IHC-P, WB
Species Reactivity Human, Rat
Isotype IgG