JavaScript is disabled in your browser. Please enable JavaScript to view this website.

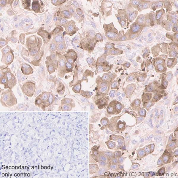
Anti-Clusterin antibody [EPR2911] - Low endotoxin, Azide free(AB229445)

$undefined

Anti-Clusterin antibody [EPR2911] - Low endotoxin, Azide free(AB229445)

Anti-Clusterin antibody [EPR2911] - Low endotoxin, Azide free(AB229445)

Anti-Clusterin antibody [EPR2911] - Low endotoxin, Azide free(AB229445)

Rabbit Recombinant Monoclonal Clusterin antibody. Carrier free. Suitable for IHC-P, WB and reacts with Human samples.
Specifications
Shipped At Conditions Blue Ice
Appropriate Long term Storage Conditions Store at +4°C.
Clonality Monoclonal
Applications IHC-P, WB
Species Reactivity Human
Isotype IgG