JavaScript is disabled in your browser. Please enable JavaScript to view this website.

Anti-FADD antibody [EPR5030] - BSA and Azide free(AB229444)

$undefined

Anti-FADD antibody [EPR5030] - BSA and Azide free(AB229444)

Anti-FADD antibody [EPR5030] - BSA and Azide free(AB229444)

Anti-FADD antibody [EPR5030] - BSA and Azide free(AB229444)

Anti-FADD antibody [EPR5030] - BSA and Azide free(AB229444)

Anti-FADD antibody [EPR5030] - BSA and Azide free(AB229444)

Anti-FADD antibody [EPR5030] - BSA and Azide free(AB229444)

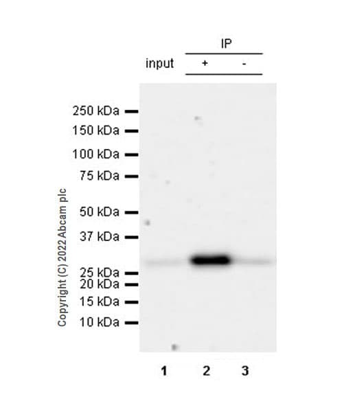
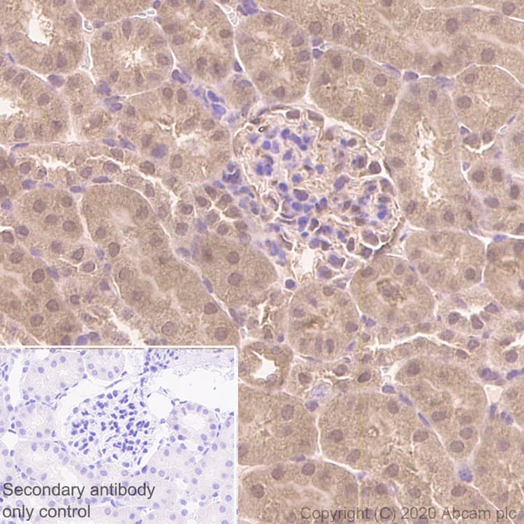
Rabbit Recombinant Monoclonal FADD antibody. Carrier free. Suitable for IHC-P, ICC/IF, WB, Flow Cyt (Intra), IP and reacts with Mouse samples.
Specifications
Shipped At Conditions Blue Ice
Appropriate Long term Storage Conditions Store at +4°C.
Clonality Monoclonal
Applications Flow Cyt (Intra), ICC/IF, IHC-P, IP, WB
Species Reactivity Mouse
Isotype IgG