JavaScript is disabled in your browser. Please enable JavaScript to view this website.

Anti-BCRP/ABCG2 antibody [EPR21122](AB229193)

$undefined

Anti-BCRP/ABCG2 antibody [EPR21122](AB229193)

Anti-BCRP/ABCG2 antibody [EPR21122](AB229193)

Anti-BCRP/ABCG2 antibody [EPR21122](AB229193)

Anti-BCRP/ABCG2 antibody [EPR21122](AB229193)

Anti-BCRP/ABCG2 antibody [EPR21122](AB229193)

Anti-BCRP/ABCG2 antibody [EPR21122](AB229193)

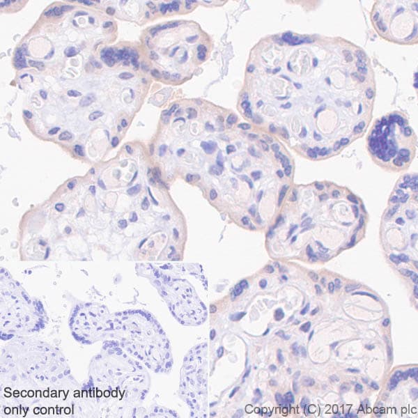
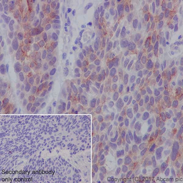
Rabbit Recombinant Monoclonal BCRP/abCG2 antibody. Suitable for Flow Cyt, ICC/IF, IHC-P and reacts with Human samples. Cited in 3 publications.
Specifications
Shipped At Conditions Blue Ice
Appropriate Long term Storage Conditions Store at -20°C.
Clonality Monoclonal
Applications Flow Cyt, ICC/IF, IHC-P
Species Reactivity Human
Isotype IgG