JavaScript is disabled in your browser. Please enable JavaScript to view this website.

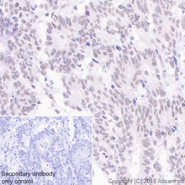
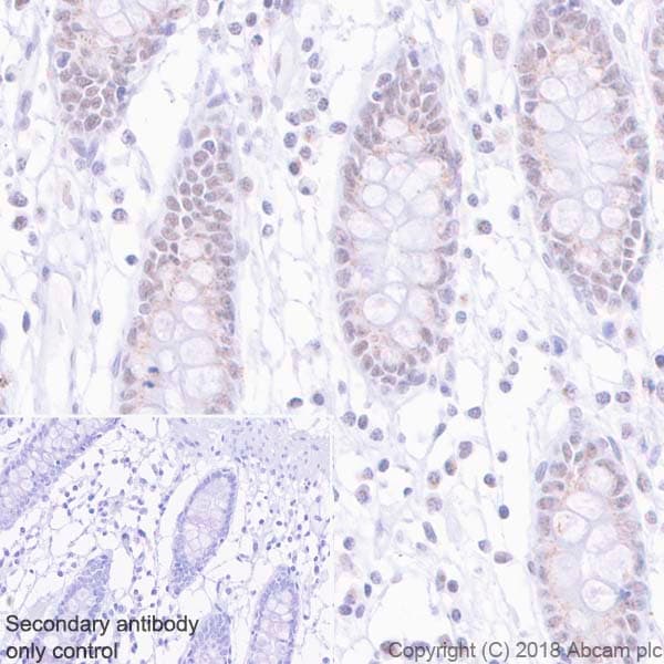
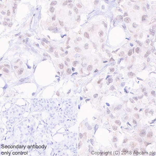
Anti-MLH1 antibody [EPR20741](AB229191)

$undefined

Anti-MLH1 antibody [EPR20741](AB229191)

Anti-MLH1 antibody [EPR20741](AB229191)

Anti-MLH1 antibody [EPR20741](AB229191)

Anti-MLH1 antibody [EPR20741](AB229191)

Anti-MLH1 antibody [EPR20741](AB229191)

Rabbit Recombinant Monoclonal MLH1 antibody. Suitable for ICC/IF, Flow Cyt (Intra), IHC-P and reacts with Human samples.
Specifications
Shipped At Conditions Blue Ice
Appropriate Long term Storage Conditions Store at -20°C.
Clonality Monoclonal
Applications Flow Cyt (Intra), ICC/IF, IHC-P
Species Reactivity Human
Isotype IgG