JavaScript is disabled in your browser. Please enable JavaScript to view this website.

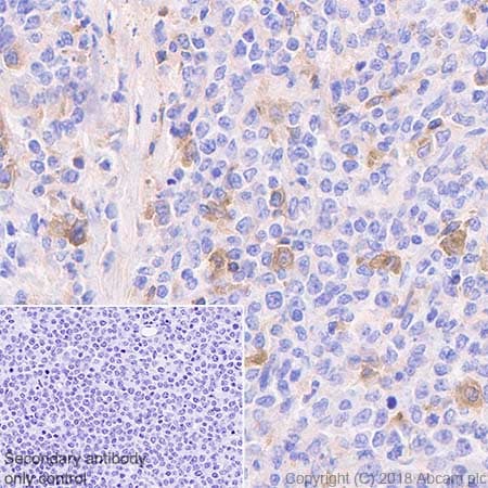
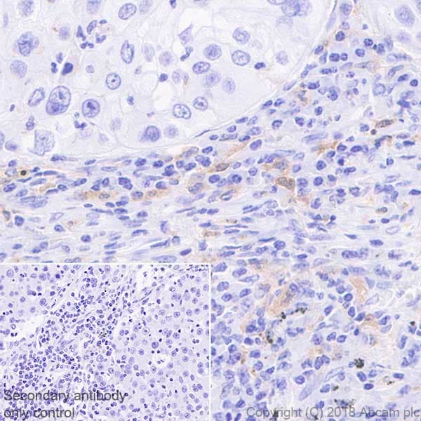
Anti-CSF-1-R antibody [EPR20754](AB229188)

$undefined

Anti-CSF-1-R antibody [EPR20754](AB229188)

Anti-CSF-1-R antibody [EPR20754](AB229188)

Anti-CSF-1-R antibody [EPR20754](AB229188)

Anti-CSF-1-R antibody [EPR20754](AB229188)

Anti-CSF-1-R antibody [EPR20754](AB229188)

Anti-CSF-1-R antibody [EPR20754](AB229188)

Rabbit Recombinant Monoclonal CSF-1-R antibody. Suitable for IP, WB, IHC-P and reacts with Human samples. Cited in 3 publications.
Specifications
Shipped At Conditions Blue Ice
Appropriate Long term Storage Conditions Store at -20°C.
Clonality Monoclonal
Applications IHC-P, IP, WB
Species Reactivity Human
Isotype IgG