JavaScript is disabled in your browser. Please enable JavaScript to view this website.

Nile Red Staining Kit(AB228553)

$undefined

Nile Red Staining Kit(AB228553)

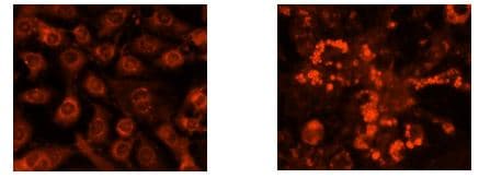
Nile Red Staining Kit ab228553 is designed for the quantitative, fluorometric detection and measurement of intracellular lipid droplets using fluorescence microscopy, flow cytometry or a fluorescence microplate reader.
Specifications
Shipped At Conditions Blue Ice
Appropriate Long term Storage Conditions Store at -20°C.
CAS Number 7385-67-3