JavaScript is disabled in your browser. Please enable JavaScript to view this website.

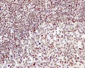
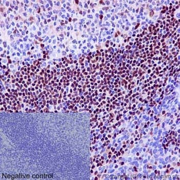
Anti-5 Lipoxygenase/5-LO antibody [EP6072(2)] - BSA and Azide free(ab227991)

$undefined

Anti-5 Lipoxygenase/5-LO antibody [EP6072(2)] - BSA and Azide free(ab227991)

Anti-5 Lipoxygenase/5-LO antibody [EP6072(2)] - BSA and Azide free(ab227991)

Anti-5 Lipoxygenase/5-LO antibody [EP6072(2)] - BSA and Azide free(ab227991)

Anti-5 Lipoxygenase/5-LO antibody [EP6072(2)] - BSA and Azide free(ab227991)

Anti-5 Lipoxygenase/5-LO antibody [EP6072(2)] - BSA and Azide free(ab227991)

Rabbit Recombinant Monoclonal 5 Lipoxygenase/5-LO antibody. Carrier free. Suitable for Flow Cyt (Intra), ICC/IF, IHC-P, WB and reacts with Human, Rat samples. Cited in 1 publication.
Specifications
Shipped At Conditions Blue Ice
Appropriate Long term Storage Conditions Store at +4°C.
Clonality Monoclonal
Applications Flow Cyt (Intra), ICC/IF, IHC-P, WB
Species Reactivity Human, Mouse, Rat
Isotype IgG