JavaScript is disabled in your browser. Please enable JavaScript to view this website.

Anti-ENO1 antibody [EPR19758](ab227978)

$undefined

Anti-ENO1 antibody [EPR19758](ab227978)

Anti-ENO1 antibody [EPR19758](ab227978)

Anti-ENO1 antibody [EPR19758](ab227978)

Anti-ENO1 antibody [EPR19758](ab227978)

Anti-ENO1 antibody [EPR19758](ab227978)

Anti-ENO1 antibody [EPR19758](ab227978)

Anti-ENO1 antibody [EPR19758](ab227978)

Anti-ENO1 antibody [EPR19758](ab227978)

Anti-ENO1 antibody [EPR19758](ab227978)

Anti-ENO1 antibody [EPR19758](ab227978)

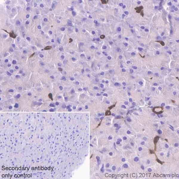
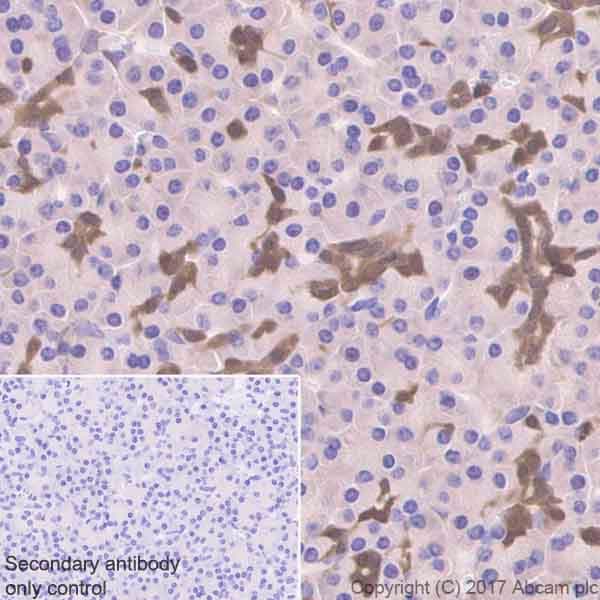
Rabbit Recombinant Monoclonal ENO1 antibody. Suitable for IP, WB, ICC/IF, Flow Cyt (Intra), IHC-P and reacts with Human, Mouse, Rat samples. Cited in 17 publications.
Specifications
Shipped At Conditions Blue Ice
Appropriate Long term Storage Conditions Store at -20°C.
Clonality Monoclonal
Applications Flow Cyt (Intra), ICC/IF, IHC-P, IP, WB
Species Reactivity Human, Mouse, Rat
Isotype IgG