JavaScript is disabled in your browser. Please enable JavaScript to view this website.

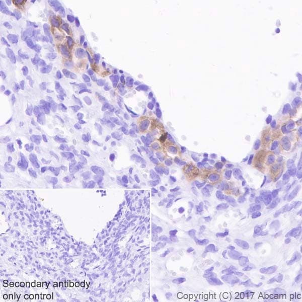
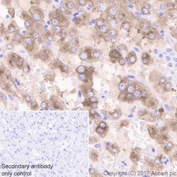
Anti-INSL3 antibody [EPR20739](ab227974)

$undefined

Anti-INSL3 antibody [EPR20739](ab227974)

Anti-INSL3 antibody [EPR20739](ab227974)

Anti-INSL3 antibody [EPR20739](ab227974)

Anti-INSL3 antibody [EPR20739](ab227974)

Anti-INSL3 antibody [EPR20739](ab227974)

Anti-INSL3 antibody [EPR20739](ab227974)

Rabbit Recombinant Monoclonal INSL3 antibody. Suitable for IP, WB, IHC-P and reacts with Human samples.
Specifications
Shipped At Conditions Blue Ice
Appropriate Long term Storage Conditions Store at -20°C.
Clonality Monoclonal
Applications IHC-P, IP, WB
Species Reactivity Human
Isotype IgG