JavaScript is disabled in your browser. Please enable JavaScript to view this website.

Anti-PDK2 antibody [EPR1948Y] - BSA and Azide free(ab227847)

$undefined

Anti-PDK2 antibody [EPR1948Y] - BSA and Azide free(ab227847)

Anti-PDK2 antibody [EPR1948Y] - BSA and Azide free(ab227847)

Anti-PDK2 antibody [EPR1948Y] - BSA and Azide free(ab227847)

Anti-PDK2 antibody [EPR1948Y] - BSA and Azide free(ab227847)

Anti-PDK2 antibody [EPR1948Y] - BSA and Azide free(ab227847)

Anti-PDK2 antibody [EPR1948Y] - BSA and Azide free(ab227847)

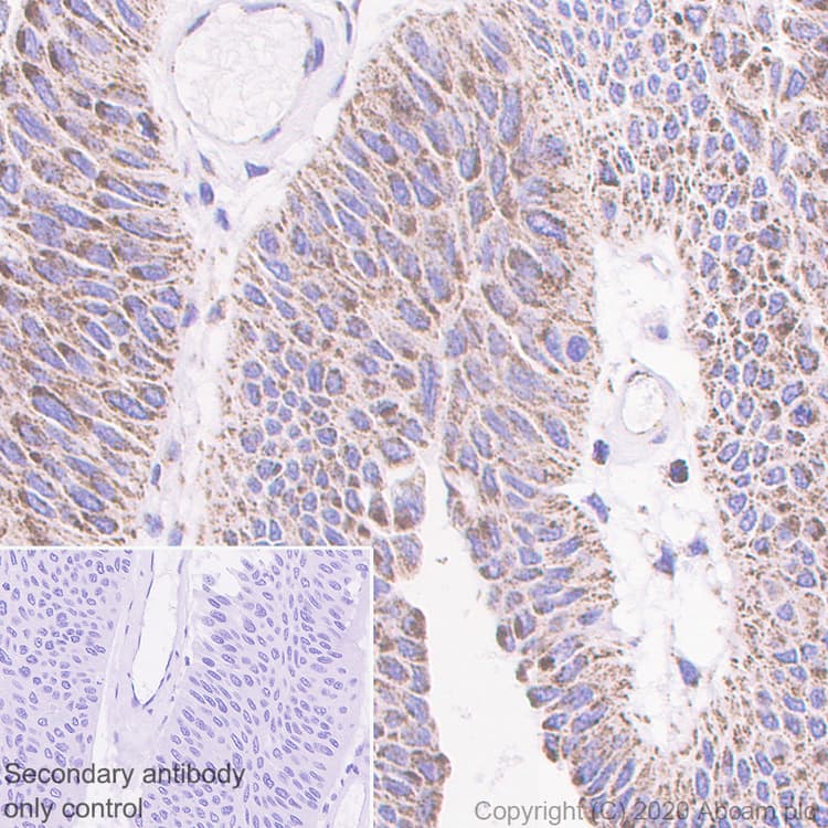
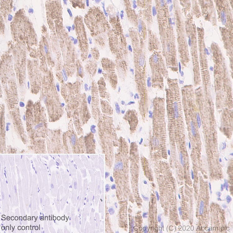
Rabbit Recombinant Monoclonal PDK2 antibody. Carrier free. Suitable for IHC-P, IP, WB and reacts with Human, Rat, Mouse samples. Cited in 6 publications.
Specifications
Shipped At Conditions Blue Ice
Appropriate Long term Storage Conditions Store at +4°C.
Clonality Monoclonal
Applications IHC-P, IP, WB
Species Reactivity Human, Mouse, Rat
Isotype IgG