JavaScript is disabled in your browser. Please enable JavaScript to view this website.

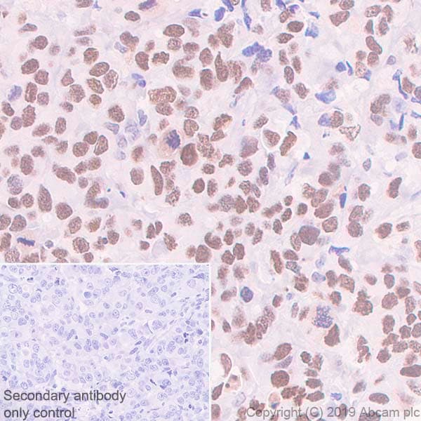
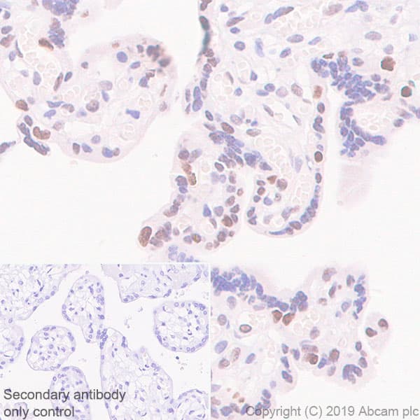
Anti-Dnmt3a antibody [EPR18455-94](ab227823)

$undefined

Anti-Dnmt3a antibody [EPR18455-94](ab227823)

Anti-Dnmt3a antibody [EPR18455-94](ab227823)

Anti-Dnmt3a antibody [EPR18455-94](ab227823)

Anti-Dnmt3a antibody [EPR18455-94](ab227823)

Anti-Dnmt3a antibody [EPR18455-94](ab227823)

Anti-Dnmt3a antibody [EPR18455-94](ab227823)

Anti-Dnmt3a antibody [EPR18455-94](ab227823)

Rabbit Recombinant Monoclonal Dnmt3a antibody. Suitable for WB, IHC-P and reacts with Human, Rat, Mouse samples. Cited in 1 publication.
Specifications
Shipped At Conditions Blue Ice
Appropriate Long term Storage Conditions Store at -20°C.
Clonality Monoclonal
Applications ChIP, Flow Cyt, ICC/IF, IHC-P, IP, WB
Species Reactivity Human, Mouse, Rat
Isotype IgG