JavaScript is disabled in your browser. Please enable JavaScript to view this website.

Anti-Sp7 / Osterix antibody [EPR21034] - BSA and Azide free(ab227820)

$undefined

Anti-Sp7 / Osterix antibody [EPR21034] - BSA and Azide free(ab227820)

Anti-Sp7 / Osterix antibody [EPR21034] - BSA and Azide free(ab227820)

Anti-Sp7 / Osterix antibody [EPR21034] - BSA and Azide free(ab227820)

Anti-Sp7 / Osterix antibody [EPR21034] - BSA and Azide free(ab227820)

Anti-Sp7 / Osterix antibody [EPR21034] - BSA and Azide free(ab227820)

Anti-Sp7 / Osterix antibody [EPR21034] - BSA and Azide free(ab227820)

Anti-Sp7 / Osterix antibody [EPR21034] - BSA and Azide free(ab227820)

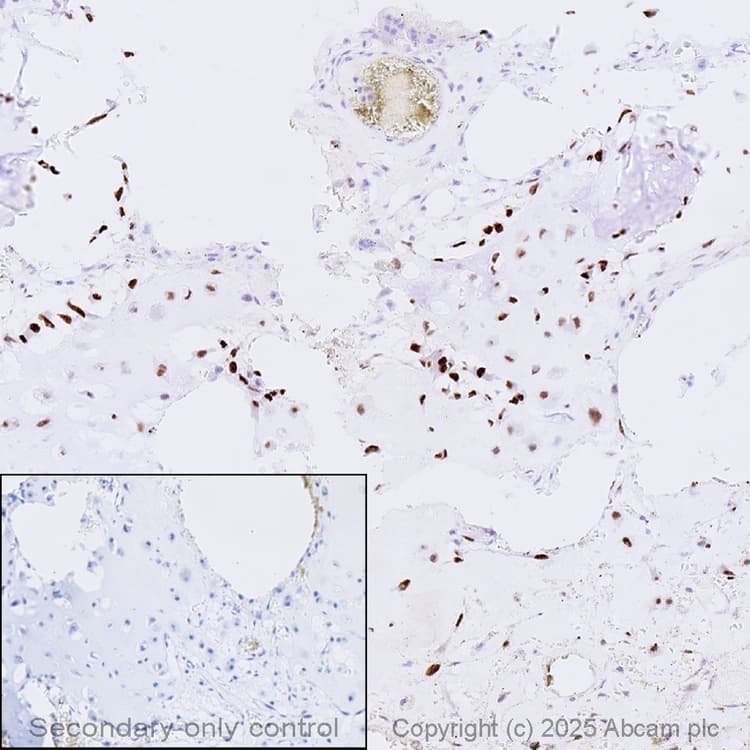
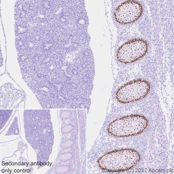
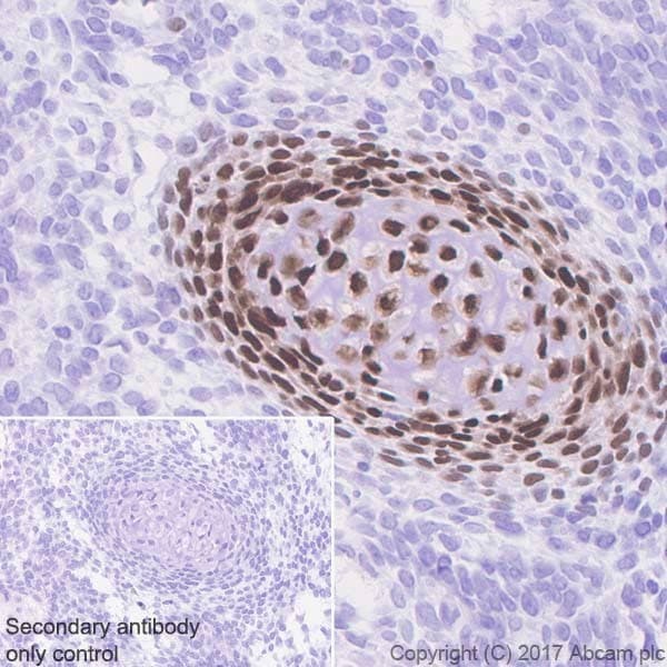
Rabbit Recombinant Monoclonal Sp7 / Osterix antibody. Carrier free. Suitable for IP, WB, IHC-Fr, IHC-P and reacts with Human, Mouse, Rat samples. Cited in 5 publications.
Specifications
Shipped At Conditions Blue Ice
Appropriate Long term Storage Conditions Store at +4°C.
Clonality Monoclonal
Applications IHC-Fr, IHC-P, IP, WB
Species Reactivity Human, Mouse, Rat
Isotype IgG