JavaScript is disabled in your browser. Please enable JavaScript to view this website.

Anti-CDA antibody [EPR20525] - BSA and Azide free(ab227815)

$undefined

Anti-CDA antibody [EPR20525] - BSA and Azide free(ab227815)

Anti-CDA antibody [EPR20525] - BSA and Azide free(ab227815)

Anti-CDA antibody [EPR20525] - BSA and Azide free(ab227815)

Anti-CDA antibody [EPR20525] - BSA and Azide free(ab227815)

Anti-CDA antibody [EPR20525] - BSA and Azide free(ab227815)

Anti-CDA antibody [EPR20525] - BSA and Azide free(ab227815)

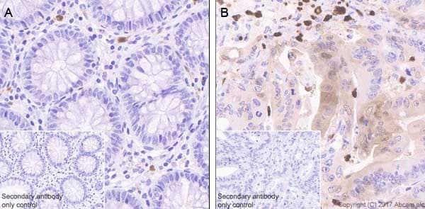
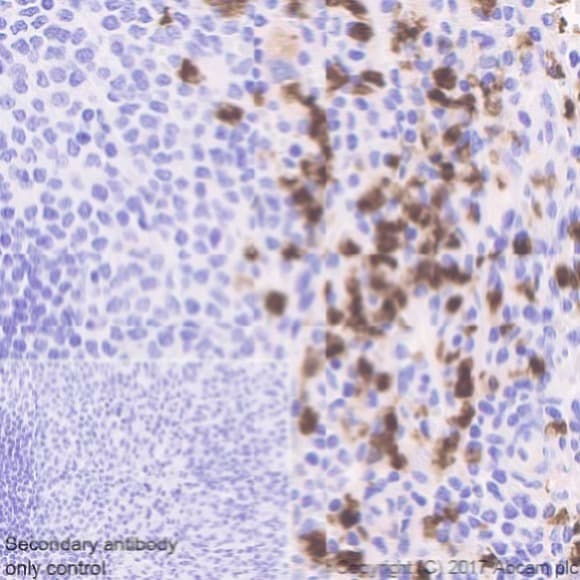
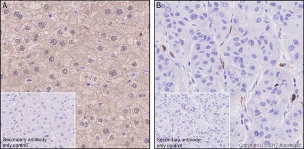
Rabbit Recombinant Monoclonal CDA antibody. Carrier free. Suitable for WB, Flow Cyt (Intra), IHC-P and reacts with Human samples.
Specifications
Shipped At Conditions Blue Ice
Appropriate Long term Storage Conditions Store at +4°C.
Clonality Monoclonal
Applications Flow Cyt (Intra), IHC-P, WB
Species Reactivity Human
Isotype IgG