JavaScript is disabled in your browser. Please enable JavaScript to view this website.

Anti-Mesothelin antibody [EPR19025-42] - BSA and Azide free(ab227810)

$undefined

Anti-Mesothelin antibody [EPR19025-42] - BSA and Azide free(ab227810)

Anti-Mesothelin antibody [EPR19025-42] - BSA and Azide free(ab227810)

Anti-Mesothelin antibody [EPR19025-42] - BSA and Azide free(ab227810)

Anti-Mesothelin antibody [EPR19025-42] - BSA and Azide free(ab227810)

Anti-Mesothelin antibody [EPR19025-42] - BSA and Azide free(ab227810)

Anti-Mesothelin antibody [EPR19025-42] - BSA and Azide free(ab227810)

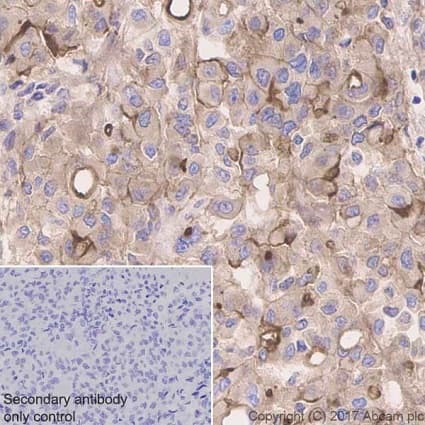
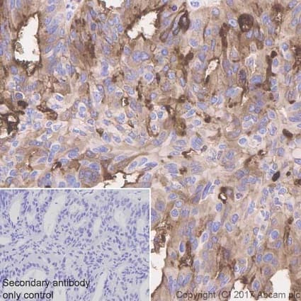
Rabbit Recombinant Monoclonal Mesothelin antibody. Carrier free. Suitable for IP, Flow Cyt, WB, IHC-P and reacts with Human samples.
Specifications
Shipped At Conditions Blue Ice
Appropriate Long term Storage Conditions Store at +4°C.
Clonality Monoclonal
Applications Flow Cyt, IHC-P, IP, WB
Species Reactivity Human
Isotype IgG