JavaScript is disabled in your browser. Please enable JavaScript to view this website.

Anti-VGluT1 antibody [EPR22269](ab227805)

$undefined

Anti-VGluT1 antibody [EPR22269](ab227805)

Anti-VGluT1 antibody [EPR22269](ab227805)

Anti-VGluT1 antibody [EPR22269](ab227805)

Anti-VGluT1 antibody [EPR22269](ab227805)

Anti-VGluT1 antibody [EPR22269](ab227805)

Anti-VGluT1 antibody [EPR22269](ab227805)

Anti-VGluT1 antibody [EPR22269](ab227805)

Anti-VGluT1 antibody [EPR22269](ab227805)

Anti-VGluT1 antibody [EPR22269](ab227805)

Anti-VGluT1 antibody [EPR22269](ab227805)

Anti-VGluT1 antibody [EPR22269](ab227805)

Anti-VGluT1 antibody [EPR22269](ab227805)

Anti-VGluT1 antibody [EPR22269](ab227805)

Anti-VGluT1 antibody [EPR22269](ab227805)

Anti-VGluT1 antibody [EPR22269](ab227805)

Anti-VGluT1 antibody [EPR22269](ab227805)

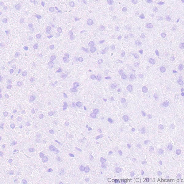
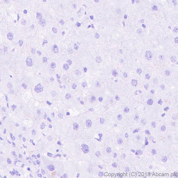
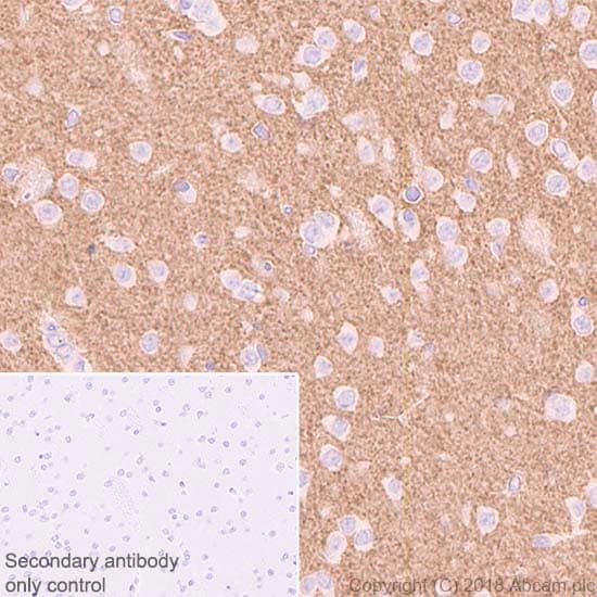
Anti-VGluT1 antibody [EPR22269] ab227805 is a rabbit monoclonal antibody that is used in VGluT1 western blotting, IHC and immunofluorescence. Suitable for human, mouse and rat samples.

- Recombinant format for unrivaled batch-batch consistency: no need for same-lot requests
Specifications
Shipped At Conditions Blue Ice
Appropriate Long term Storage Conditions Store at -20°C.
Clonality Monoclonal
Applications ICC/IF, IHC-Fr, IHC-P, IP, WB
Species Reactivity Human, Mouse, Rat
Isotype IgG