Flow Cytometry - Anti-PAX8 antibody [SP348] - N-terminal (ab227707)
Flow Cytometry analysis of SK-OV-3 (human ovarian cancer epithelial cell) cells labeling PAX8 with purified ab227707 at 1:400 dilution (1.015 µg/ml) - Red. Cells were fixed with 4% paraformaldehyde . A Goat anti rabbit IgG (Alexa Fluor® 488, ab150081) secondary antibody was used at 1:2000 dilution. Isotype control - Rabbit monoclonal IgG (ab172730) - Black. Unlabeled control - Blue.
![Flow Cytometry - Anti-PAX8 antibody [SP348] - N-terminal (ab227707)](./media_17f22eddf9b5ae900a14123e2a7c5a156838f0565.avif?width=750&format=avif&optimize=medium)
Flow Cytometry - Anti-PAX8 antibody [SP348] - N-terminal (ab227707)
Flow Cytometry analysis of HL-60 (human promyelocytic leukemia cell line) cells, labeling PAX8 with ab227707 at 1/100 dilution (green) compared to a Rabbit IgG negative control (blue).

Immunocytochemistry/ Immunofluorescence - Anti-PAX8 antibody [SP348] - N-terminal (ab227707)
Immunocytochemistry/ Immunofluorescence analysis of SK-OV-3 (human ovarian cancer epithelial cell) cells labeling PAX8 with purified ab227707 at 1:50 (8.1 µg/ml). Cells were fixed in 4% paraformaldehyde and permeabilized with 0.1% Triton X-100. Cells were counterstained with ab195889 Anti-alpha Tubulin antibody [DM1A] - Microtubule Marker (Alexa Fluor® 594) 1:200 (2.5 µg/ml). Goat anti rabbit IgG (Alexa Fluor® 488, ab150077) was used as the secondary antibody at 1:1000 (2 µg/ml) dilution. DAPI nuclear counterstain. PBS instead of the primary antibody was used as the secondary antibody only control.

Western blot - Anti-PAX8 antibody [SP348] - N-terminal (ab227707)
All lanes:
Western blot - Anti-PAX8 antibody [SP348] - N-terminal (ab227707) at 0.398 µg/mL
Lane 1:
SK-OV-3 (human ovarian cancer epithelial cell) cell lysate at 20 µg
Lane 2:
human kidney tissue lysate at 20 µg
Secondary
All lanes:
Western blot - Goat Anti-Rabbit IgG H&L (HRP) (ab97051) at 0.05 µg/mL
Predicted band size: 48 kDa

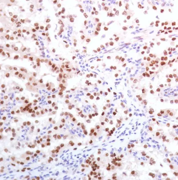
Immunohistochemistry (Formalin/PFA-fixed paraffin-embedded sections) - Anti-PAX8 antibody [SP348] - N-terminal (ab227707)
Formalin-fixed, paraffin-embedded human renal cell carcinoma tissue stained for PAX8 using ab227707 at 1/100 dilution in immunohistochemical analysis.

Western blot - Anti-PAX8 antibody [SP348] - N-terminal (ab227707)
All lanes:
Western blot - Anti-PAX8 antibody [SP348] - N-terminal (ab227707) at 1/100 dilution
Lane 1:
PAX1 transfected HEK-293 (human epithelial cel line from embryonic kidney) cell lysate
Lane 2:
PAX2 transfected HEK-293 (human epithelial cel line from embryonic kidney) cell lysate
Lane 3:
PAX3 transfected HEK-293 (human epithelial cel line from embryonic kidney) cell lysate
Lane 4:
PAX4 transfected HEK-293 (human epithelial cel line from embryonic kidney) cell lysate
Lane 5:
PAX5 transfected HEK-293 (human epithelial cel line from embryonic kidney) cell lysate
Lane 6:
PAX6 transfected HEK-293 (human epithelial cel line from embryonic kidney) cell lysate
Lane 7:
PAX7 transfected HEK-293 (human epithelial cel line from embryonic kidney) cell lysate
Lane 8:
PAX8 transfected HEK-293 (human epithelial cel line from embryonic kidney) cell lysate
Lane 9:
PAX9 transfected HEK-293 (human epithelial cel line from embryonic kidney) cell lysate
Lane 10:
Mock transfected HEK-293 (human epithelial cel line from embryonic kidney) cell lysate
Predicted band size: 48 kDa
