JavaScript is disabled in your browser. Please enable JavaScript to view this website.

Anti-SATB2 antibody [SP281] - C-terminal(AB227686)

$undefined

Satb2 Antibody Sp281 C Terminal Ab227686  Immunohistochemistry Formalin Pfa Fixed Paraffin Embedded Sections Img136657

Satb2 Antibody Sp281 C Terminal Ab227686  Immunohistochemistry Formalin Pfa Fixed Paraffin Embedded Sections Img17254

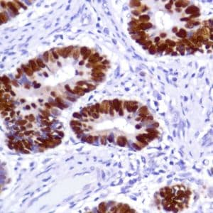
Satb2 Antibody Sp281 C Terminal Ab227686  Immunohistochemistry Formalin Pfa Fixed Paraffin Embedded Sections Img31046

Satb2 Antibody Sp281 C Terminal Ab227686  Immunohistochemistry Formalin Pfa Fixed Paraffin Embedded Sections Img34747

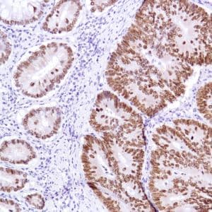
Satb2 Antibody Sp281 C Terminal Ab227686  Immunohistochemistry Formalin Pfa Fixed Paraffin Embedded Sections Img42016

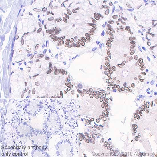
Satb2 Antibody Sp281 C Terminal Ab227686  Immunohistochemistry Formalin Pfa Fixed Paraffin Embedded Sections Img71173

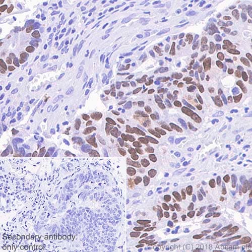
Satb2 Antibody Sp281 C Terminal Ab227686  Immunohistochemistry Formalin Pfa Fixed Paraffin Embedded Sections Img90429

Satb2 Antibody Sp281 C Terminal Ab227686  Immunohistochemistry Pfa Perfusion Fixed Frozen Sections Img134424

Satb2 Antibody Sp281 C Terminal Ab227686  Western Blot Img26201

Rabbit Recombinant Monoclonal SATB2 antibody. C-terminal. Suitable for WB, IHC-FoFr, IHC-P and reacts with Human, Mouse, Rat samples.
Specifications
Shipped At Conditions Blue Ice
Appropriate Long term Storage Conditions Store at -20°C.
Clonality Monoclonal
Applications Flow Cyt, ICC/IF, IHC-FoFr, IHC-P, WB
Species Reactivity Human, Mouse, Rat
Isotype IgG