JavaScript is disabled in your browser. Please enable JavaScript to view this website.

Anti-SOX10 antibody [SP267](AB227680)

$undefined

Anti-SOX10 antibody [SP267](AB227680)

Anti-SOX10 antibody [SP267](AB227680)

Anti-SOX10 antibody [SP267](AB227680)

Anti-SOX10 antibody [SP267](AB227680)

Anti-SOX10 antibody [SP267](AB227680)

Anti-SOX10 antibody [SP267](AB227680)

Anti-SOX10 antibody [SP267](AB227680)

Anti-SOX10 antibody [SP267](AB227680)

Anti-SOX10 antibody [SP267](AB227680)

Anti-SOX10 antibody [SP267](AB227680)

Anti-SOX10 antibody [SP267](AB227680)

Anti-SOX10 antibody [SP267](AB227680)

Anti-SOX10 antibody [SP267](AB227680)

Anti-SOX10 antibody [SP267](AB227680)

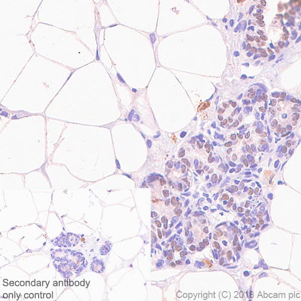
Anti-SOX10 antibody [SP267] ab227680 is a rabbit monoclonal antibody that is used in SOX10 western blotting, IHC, immunofluorescence and flow cytometry. Suitable for human, mouse and rat samples.

- Recombinant format for unrivaled batch-batch consistency: no need for same-lot requests
- One antibody for all your SOX10 staining, use in SOX10 western blotting, IHC, immunofluorescence and flow cytometry
Specifications
Shipped At Conditions Blue Ice
Appropriate Long term Storage Conditions Store at -20°C.
Clonality Monoclonal
Applications Flow Cyt (Intra), ICC/IF, IHC-FoFr, IHC-P, WB
Species Reactivity Human, Mouse, Rat
Isotype IgG