JavaScript is disabled in your browser. Please enable JavaScript to view this website.

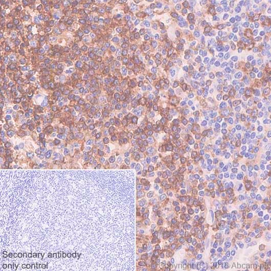
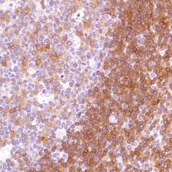
Anti-HLA-DPB1 antibody [SP229](AB227676)

$undefined

Anti-HLA-DPB1 antibody [SP229](AB227676)

Anti-HLA-DPB1 antibody [SP229](AB227676)

Anti-HLA-DPB1 antibody [SP229](AB227676)

Anti-HLA-DPB1 antibody [SP229](AB227676)

Anti-HLA-DPB1 antibody [SP229](AB227676)

Anti-HLA-DPB1 antibody [SP229](AB227676)

Rabbit Recombinant Monoclonal HLA-DPB1 antibody. Suitable for IHC-P, Flow Cyt (Intra), WB, ICC/IF and reacts with Human samples.
Specifications
Shipped At Conditions Blue Ice
Appropriate Long term Storage Conditions Store at -20°C.
Clonality Monoclonal
Applications Flow Cyt (Intra), ICC/IF, IHC-P, WB
Species Reactivity Human
Isotype IgG