JavaScript is disabled in your browser. Please enable JavaScript to view this website.

Anti-CD16a antibody [SP189] - C-terminal(AB227665)

$undefined

Anti-CD16a antibody [SP189] - C-terminal(AB227665)

Anti-CD16a antibody [SP189] - C-terminal(AB227665)

Anti-CD16a antibody [SP189] - C-terminal(AB227665)

Anti-CD16a antibody [SP189] - C-terminal(AB227665)

Anti-CD16a antibody [SP189] - C-terminal(AB227665)

Anti-CD16a antibody [SP189] - C-terminal(AB227665)

Anti-CD16a antibody [SP189] - C-terminal(AB227665)

Anti-CD16a antibody [SP189] - C-terminal(AB227665)

Anti-CD16a antibody [SP189] - C-terminal(AB227665)

Anti-CD16a antibody [SP189] - C-terminal(AB227665)

Anti-CD16a antibody [SP189] - C-terminal(AB227665)

Anti-CD16a antibody [SP189] - C-terminal(AB227665)

Anti-CD16a antibody [SP189] - C-terminal(AB227665)

Anti-CD16a antibody [SP189] - C-terminal(AB227665)

Anti-CD16a antibody [SP189] - C-terminal(AB227665)

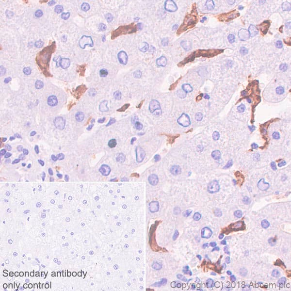
Rabbit Recombinant Monoclonal CD16a antibody. C-terminal. Suitable for Flow Cyt (Intra), WB, IHC-P and reacts with Human samples.
Specifications
Shipped At Conditions Blue Ice
Appropriate Long term Storage Conditions Store at -20°C.
Clonality Monoclonal
Applications Flow Cyt (Intra), IHC-P, WB
Species Reactivity Human
Isotype IgG