JavaScript is disabled in your browser. Please enable JavaScript to view this website.

Anti-Calreticulin antibody(AB227444)

$undefined

Anti-Calreticulin antibody(AB227444)

Anti-Calreticulin antibody(AB227444)

Anti-Calreticulin antibody(AB227444)

Anti-Calreticulin antibody(AB227444)

Anti-Calreticulin antibody(AB227444)

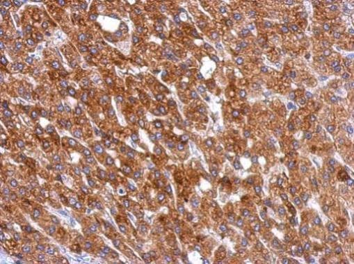
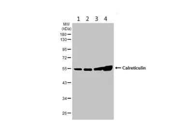
Rabbit Polyclonal Calreticulin antibody. Suitable for WB, IHC-P, ICC/IF and reacts with Mouse, Rat, Human samples. Cited in 2 publications. Immunogen corresponding to Recombinant Fragment Protein within Human Calreticulin.
Specifications
Shipped At Conditions Blue Ice
Appropriate Long term Storage Conditions Store at -20°C.
Clonality Polyclonal
Applications ICC/IF, IHC-P, WB
Species Reactivity Human, Mouse, Rat
Isotype IgG