JavaScript is disabled in your browser. Please enable JavaScript to view this website.

Anti-COASY antibody(AB227272)

$undefined

Anti-COASY antibody(AB227272)

Anti-COASY antibody(AB227272)

Anti-COASY antibody(AB227272)

Anti-COASY antibody(AB227272)

Anti-COASY antibody(AB227272)

Anti-COASY antibody(AB227272)

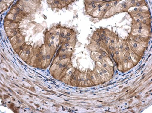
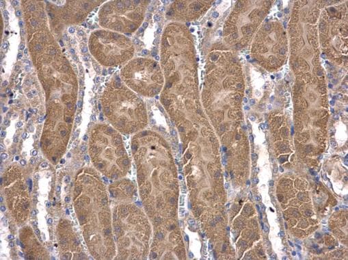
Rabbit Polyclonal COASY antibody. Suitable for WB, IHC-P, ICC/IF and reacts with Mouse, Human samples. Cited in 1 publication. Immunogen corresponding to Recombinant Fragment Protein within Human Bifunctional coenzyme A synthase.
Specifications
Shipped At Conditions Blue Ice
Appropriate Long term Storage Conditions Store at -20°C.
Clonality Polyclonal
Applications ICC/IF, IHC-P, WB
Species Reactivity Human, Mouse
Isotype IgG