JavaScript is disabled in your browser. Please enable JavaScript to view this website.

Anti-CCR6 antibody [EPR22259](AB227036)

$undefined

Anti-CCR6 antibody [EPR22259](AB227036)

Anti-CCR6 antibody [EPR22259](AB227036)

Anti-CCR6 antibody [EPR22259](AB227036)

Anti-CCR6 antibody [EPR22259](AB227036)

Anti-CCR6 antibody [EPR22259](AB227036)

Anti-CCR6 antibody [EPR22259](AB227036)

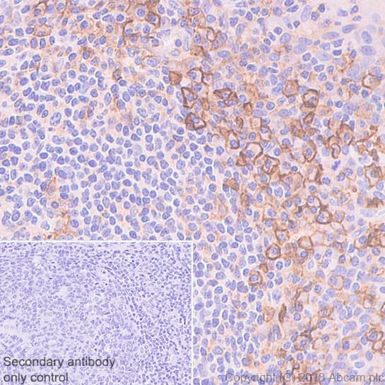
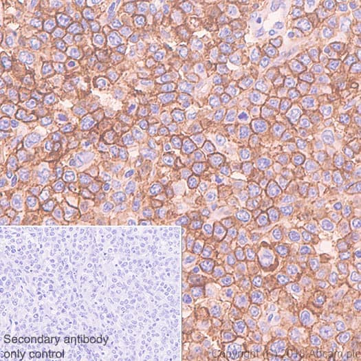
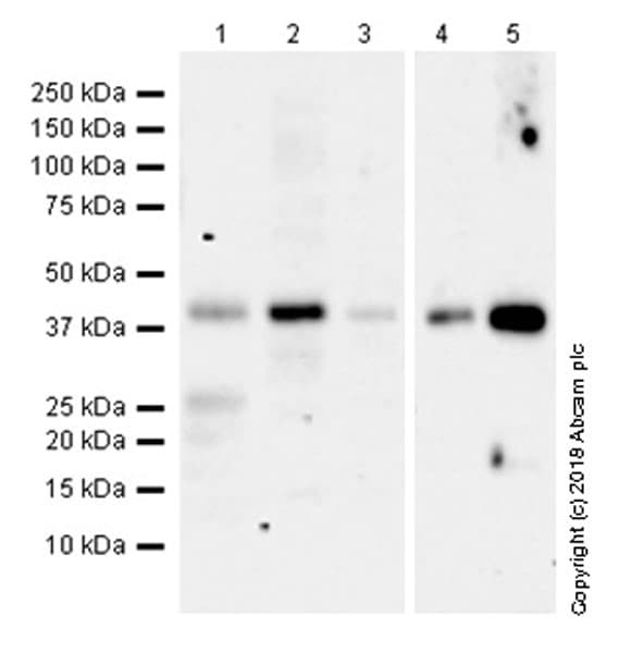
Rabbit Recombinant Monoclonal CCR6 antibody. Suitable for I-ELISA, IP, WB, IHC-P and reacts with Synthetic peptide - Human, Human samples. Cited in 8 publications.
Specifications
Shipped At Conditions Blue Ice
Appropriate Long term Storage Conditions Store at -20°C.
Clonality Monoclonal
Applications Flow Cyt, I-ELISA, ICC/IF, IHC-P, IP, WB
Species Reactivity Human
Isotype IgG