JavaScript is disabled in your browser. Please enable JavaScript to view this website.

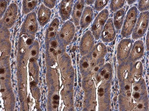
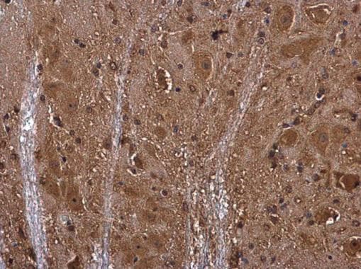
Anti-Semaphorin 3A antibody - N-terminal(ab226793)

$undefined

Anti-Semaphorin 3A antibody - N-terminal(ab226793)

Anti-Semaphorin 3A antibody - N-terminal(ab226793)

Anti-Semaphorin 3A antibody - N-terminal(ab226793)

Rabbit Polyclonal Semaphorin 3A antibody. N-terminal. Suitable for WB, IHC-P and reacts with Human, Mouse, Rat samples. Immunogen corresponding to Recombinant Fragment Protein within Human SEMA3A.
Specifications
Shipped At Conditions Blue Ice
Appropriate Long term Storage Conditions Store at -20°C.
Clonality Polyclonal
Applications IHC-P, WB
Species Reactivity Human, Mouse, Rat
Isotype IgG