Immunohistochemistry (Formalin/PFA-fixed paraffin-embedded sections) - Anti-PD-L1 antibody [73-10] - BSA and Azide free (ab226766)
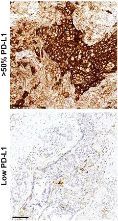
Immunohistochemistry (Formalin/PFA-fixed paraffin-embedded sections) Staining PD-L1 in human non-small cell lung cancer tissue with
50% PD-L1-positive tumor cells were compared with tissue with lower PD-L1 expression using ab228415 at 0.25μg/ml incubated for 30 minutes at room temperature. Antigen Retrieval was done with Target Retrieval Solution, high pH. Detection was done with EnVision FLEX/HRP. Hematoxylin EnVision FLEX was used as a counter stain.
This data was developed using the same antibody clone in a different buffer formulation containing PBS, BSA, glycerol, and sodium azide (ab228415).
Image from Silva MA et al., PLoS One. 2018;13(6):e0196464. Fig 3(B).; 10.1371/journal.pone.0196464.

Immunohistochemistry (Formalin/PFA-fixed paraffin-embedded sections) - Anti-PD-L1 antibody [73-10] - BSA and Azide free (ab226766)
Immunohistochemistry (Formalin/PFA-fixed paraffin-embedded sections) of lung cancer tissue samples. Comparing the staining PD-L1 with different monoclonal antibodies. ab228415 (73-10) showed higher sensitivity to PD-L1 compared to the other clones. For further details on this image please see PubMed ID: 29800747.
This data was developed using the same antibody clone in a different buffer formulation containing PBS, BSA, glycerol, and sodium azide (ab228415).
Perform heat mediated antigen retrieval before commencing with IHC staining protocol.
Image from Tsao MS et al., J Thorac Oncol. 2018;13(9):1302-1311. Fig 3.; 10.1016/j.jtho.2018.05.013 with permission from Elsevier.

Immunohistochemistry (Formalin/PFA-fixed paraffin-embedded sections) - Anti-PD-L1 antibody [73-10] - BSA and Azide free (ab226766)
Immunohistochemistry (Formalin/PFA-fixed paraffin-embedded sections) Staining PD-L1 in human non-small cell lung cancer tissue using ab228415 at 0.25μg/ml incubated for 30 minutes at room temperature. Antigen Retrieval was done with Target Retrieval Solution, high pH. Detection was done with EnVision FLEX/HRP. Hematoxylin EnVision FLEX was used as a counter stain.
A: Diffuse expression of PD-L1 (IHC) on tumor cell membranes of a squamous cell carcinoma, including central regions of trabeculae. Prominent labeling of cells in the TME compartment at the tumor-nest-TME interface suggesting presence of an immunological synapse (inset arrow).
B: Patchy expression of PD-L1 in a squamous cell carcinoma at the tumor-nest-TME interface (inset arrow). Minimal to no PD-L1 expression in the trabeculae (asterisk) if compared with (A)
C: No to minimal PD-L1 expression in both tumor and TME compartments in an adenocarcinoma.
D: Diffuse expression of PD-L1 by tumor-nests in an adenocarcinoma with minimal TME staining.
F: TME expression only. No to minimal PD-L1 expression in tumor cells of a squamous cell carcinoma, with widespread staining in the TME compartment.
This data was developed using the same antibody clone in a different buffer formulation containing PBS, BSA, glycerol, and sodium azide (ab228415).
Image from Silva MA et al., PLoS One. 2018;13(6):e0196464. Fig 4.; 10.1371/journal.pone.0196464.

Immunohistochemistry (Formalin/PFA-fixed paraffin-embedded sections) - Anti-PD-L1 antibody [73-10] - BSA and Azide free (ab226766)
IHC image of ab228415 staining PD-L1 in human tonsil formalin fixed paraffin embedded tissue sections*, performed on a Leica BOND RX (standard Protocol F, Polymer Refine kit). The section was pre-treated using heat mediated antigen retrieval with EDTA buffer (pH9, epitope retrieval solution 2) for 30 mins at 98°C. The section was then incubated with ab228415, 0.06μg/ml working concentration, for 15 mins at room temperature and detected using an HRP conjugated compact polymer system for 8 minutes at room temperature. DAB was used as the chromogen for 10 minutes at room temperature. The section was then counterstained with hematoxylin, blued, dehydrated, cleared and mounted with DPX.
For other IHC staining systems (automated and non-automated) customers should optimize variable parameters such as antigen retrieval conditions, primary antibody concentration and antibody incubation times.
*Tissue obtained from the Human Research Tissue Bank, supported by the NIHR Cambridge Biomedical Research Centre
This image was generated using ab228415, the same antibody but with BSA and Azide

Flow Cytometry (Intracellular) - Anti-PD-L1 antibody [73-10] - BSA and Azide free (ab226766)
Intracellular flow cytometric analysis of 4% paraformaldehyde-fixed, 90% methanol-permeabilized CHO-PD-L1 (PD-L1 stably expressed Chinese hamster ovary epithelial cell, Red) / CHO-S (Chinese hamster ovary epithelial cell, Blue) cell lines labeling PD-L1 with ab228415 at 1/100 dilution (red). Goat Anti-Rabbit IgG H&L (Alexa Fluor® 488) (ab150077) at 1/2000 dilution was used as the secondary antibody.
This data was developed using the same antibody clone in a different buffer formulation containing PBS, BSA, glycerol, and sodium azide (ab228415).
![Flow Cytometry (Intracellular) - Anti-PD-L1 antibody [73-10] - BSA and Azide free (ab226766)](./media_1b0ca1d5170412200c5d52349758d77e0bf3b41d9.avif?width=750&format=avif&optimize=medium)
Immunocytochemistry/ Immunofluorescence - Anti-PD-L1 antibody [73-10] - BSA and Azide free (ab226766)
Immunofluorescent analysis of 4% paraformaldehyde-fixed, 0.1% Triton X-100 permeabilized CHO-PD-L1 (PD-L1 stably expressed Chinese hamster ovary epithelial cell) cells labeling PD-L1 with ab228415 at 1/200 dilution followed by Goat Anti-Rabbit IgG H&L (Alexa Fluor® 488) (ab150077) secondary antibody at 1/1,000 dilution (green). Confocal image showing membranous staining on CHO-PD-L1 cells.
The nuclear counter stain is DAPI (blue). Tubulin is detected with anti-alpha Tubulin antibody [DM1A] - Microtubule Marker (Alexa Fluor® 594) (ab195889) (red) at 1/200 dilution.
Secondary antibody only control: Used PBS instead of primary antibody, secondary antibody is Goat Anti-Rabbit IgG H&L (Alexa Fluor® 488) (ab150077) secondary antibody at 1/1,000 dilution.
This data was developed using the same antibody clone in a different buffer formulation containing PBS, BSA, glycerol, and sodium azide (ab228415).
