JavaScript is disabled in your browser. Please enable JavaScript to view this website.

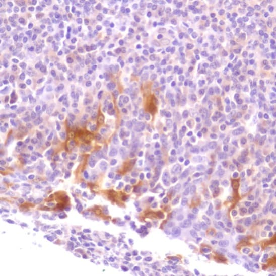
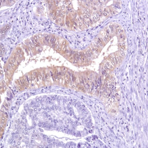
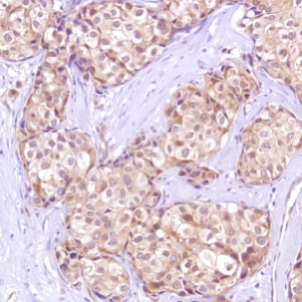
Anti-Caspase-7 antibody [SP284] - C-terminal(ab226763)

$undefined

Anti-Caspase-7 antibody [SP284] - C-terminal(ab226763)

Anti-Caspase-7 antibody [SP284] - C-terminal(ab226763)

Anti-Caspase-7 antibody [SP284] - C-terminal(ab226763)

Anti-Caspase-7 antibody [SP284] - C-terminal(ab226763)

Anti-Caspase-7 antibody [SP284] - C-terminal(ab226763)

Rabbit Recombinant Monoclonal Caspase-7 antibody. C-terminal. Suitable for IHC-P, WB and reacts with Human samples.
Specifications
Shipped At Conditions Blue Ice
Appropriate Long term Storage Conditions Store at -20°C.
Clonality Monoclonal
Applications IHC-P, WB
Species Reactivity Human
Isotype IgG