JavaScript is disabled in your browser. Please enable JavaScript to view this website.

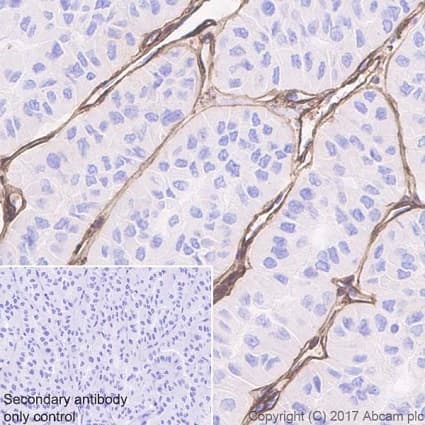
Anti-Collagen IV antibody [EPR20966] - BSA and Azide free(ab226485)

$undefined

Anti-Collagen IV antibody [EPR20966] - BSA and Azide free(ab226485)

Anti-Collagen IV antibody [EPR20966] - BSA and Azide free(ab226485)

Anti-Collagen IV antibody [EPR20966] - BSA and Azide free(ab226485)

Rabbit Recombinant Monoclonal COL4A1 antibody. Carrier free. Suitable for WB, IHC-P and reacts with Human samples.
Specifications
Shipped At Conditions Blue Ice
Appropriate Long term Storage Conditions Store at +4°C.
Clonality Monoclonal
Applications IHC-P, WB
Species Reactivity Human
Isotype IgG