JavaScript is disabled in your browser. Please enable JavaScript to view this website.

Anti-GAPDH antibody [12G11] - Loading Control(ab226408)

$undefined

Anti-GAPDH antibody [12G11] - Loading Control(ab226408)

Anti-GAPDH antibody [12G11] - Loading Control(ab226408)

Anti-GAPDH antibody [12G11] - Loading Control(ab226408)

Anti-GAPDH antibody [12G11] - Loading Control(ab226408)

Anti-GAPDH antibody [12G11] - Loading Control(ab226408)

Anti-GAPDH antibody [12G11] - Loading Control(ab226408)

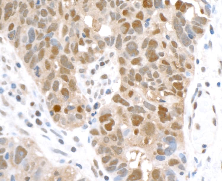
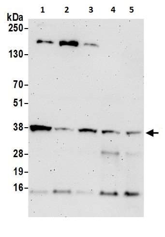
Mouse Monoclonal GAPDH antibody. Suitable for WB, IHC-P, ICC/IF and reacts with Mouse, Human samples. Cited in 5 publications. Immunogen corresponding to Synthetic Peptide within Human GAPDH aa 150-200.
Specifications
Shipped At Conditions Blue Ice
Appropriate Long term Storage Conditions Store at -20°C.
Clonality Monoclonal
Applications ICC/IF, IHC-P, WB
Species Reactivity Human, Mouse
Isotype IgG1