JavaScript is disabled in your browser. Please enable JavaScript to view this website.

Anti-HP1 alpha antibody [EPR5777] - BSA and Azide free(AB226049)

$undefined

Anti-HP1 alpha antibody [EPR5777] - BSA and Azide free(AB226049)

Anti-HP1 alpha antibody [EPR5777] - BSA and Azide free(AB226049)

Anti-HP1 alpha antibody [EPR5777] - BSA and Azide free(AB226049)

Anti-HP1 alpha antibody [EPR5777] - BSA and Azide free(AB226049)

Anti-HP1 alpha antibody [EPR5777] - BSA and Azide free(AB226049)

Anti-HP1 alpha antibody [EPR5777] - BSA and Azide free(AB226049)

Anti-HP1 alpha antibody [EPR5777] - BSA and Azide free(AB226049)

Anti-HP1 alpha antibody [EPR5777] - BSA and Azide free(AB226049)

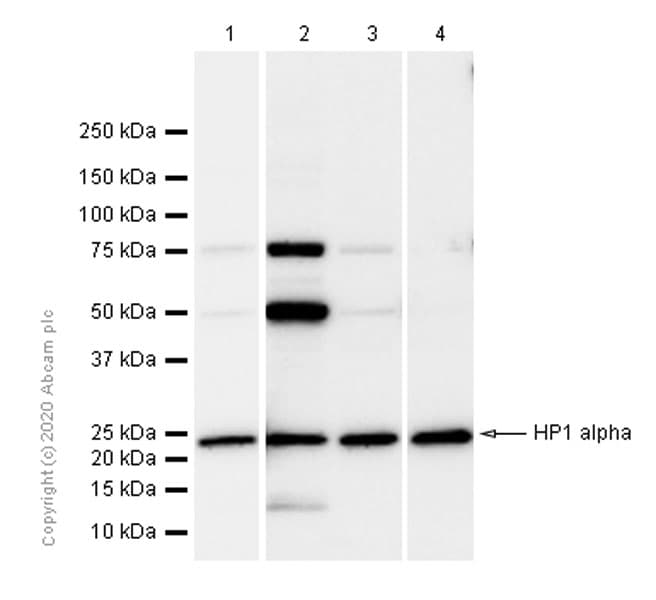
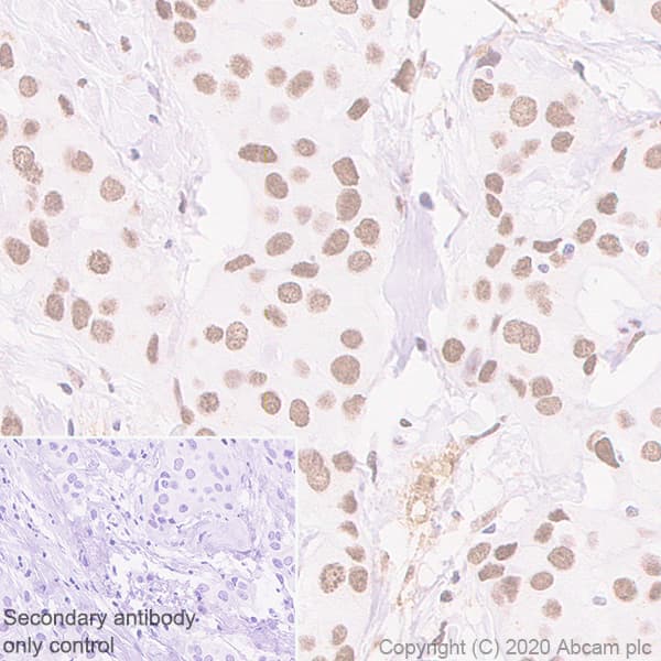
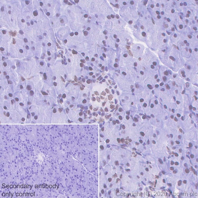
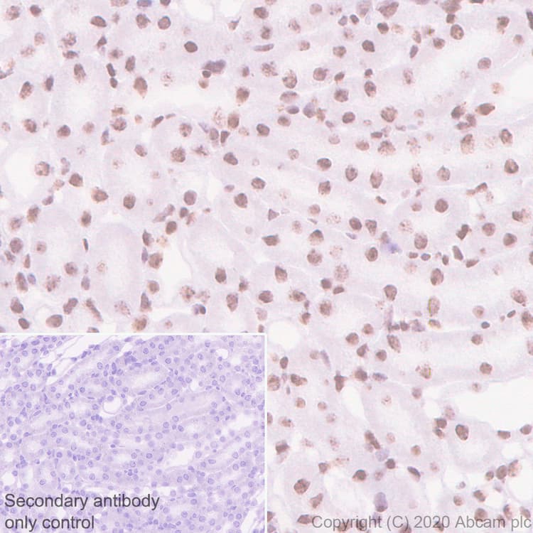
Rabbit Recombinant Monoclonal HP1 alpha antibody. Carrier free. Suitable for IHC-P, ICC/IF, IP, WB, Flow Cyt (Intra) and reacts with Rat, Human, Mouse samples.
Specifications
Shipped At Conditions Blue Ice
Appropriate Long term Storage Conditions Store at +4°C.
Clonality Monoclonal
Applications Flow Cyt (Intra), ICC/IF, IHC-P, IP, WB
Species Reactivity Human, Mouse, Rat
Isotype IgG