JavaScript is disabled in your browser. Please enable JavaScript to view this website.

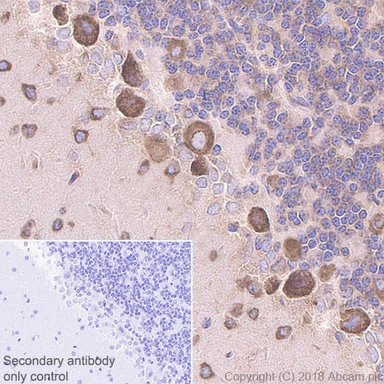
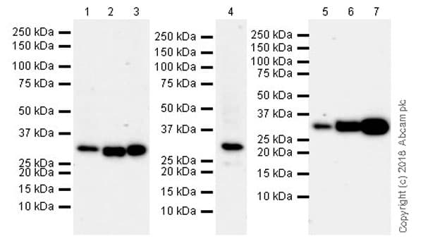
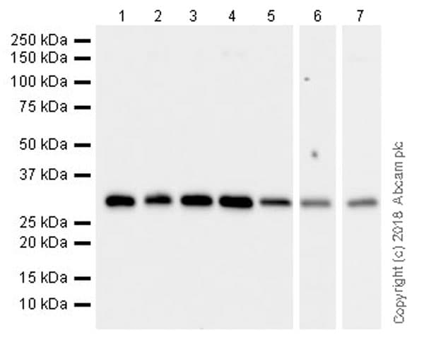
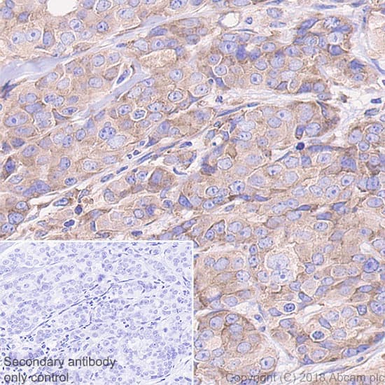
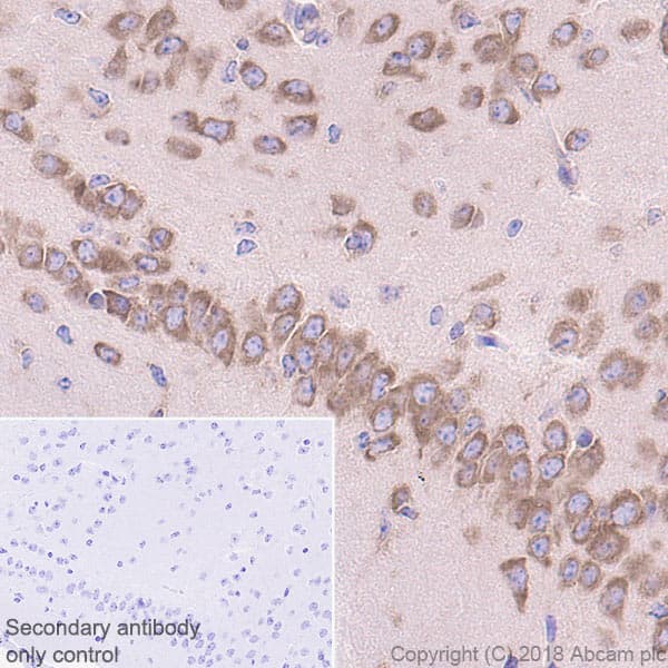
Anti-RPS6 antibody [EPR22168] - Ribosome Marker(AB225676)

$undefined

Anti-RPS6 antibody [EPR22168] - Ribosome Marker(AB225676)

Anti-RPS6 antibody [EPR22168] - Ribosome Marker(AB225676)

Anti-RPS6 antibody [EPR22168] - Ribosome Marker(AB225676)

Anti-RPS6 antibody [EPR22168] - Ribosome Marker(AB225676)

Anti-RPS6 antibody [EPR22168] - Ribosome Marker(AB225676)

Anti-RPS6 antibody [EPR22168] - Ribosome Marker(AB225676)

Anti-RPS6 antibody [EPR22168] - Ribosome Marker(AB225676)

Anti-RPS6 antibody [EPR22168] - Ribosome Marker(AB225676)

Anti-RPS6 antibody [EPR22168] - Ribosome Marker(AB225676)

Rabbit Recombinant Monoclonal RPS6 antibody. Ribosome marker. Suitable for WB, ICC/IF, Flow Cyt (Intra), IHC-P and reacts with Mouse, Rat, Human samples. Cited in 4 publications.
Specifications
Shipped At Conditions Blue Ice
Appropriate Long term Storage Conditions Store at -20°C.
Clonality Monoclonal
Applications Flow Cyt (Intra), ICC/IF, IHC-P, WB
Species Reactivity Human, Mouse, Rat
Isotype IgG