JavaScript is disabled in your browser. Please enable JavaScript to view this website.

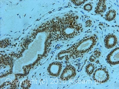
Anti-gamma H2A.X (phospho S139) antibody [3F2](AB22551)

$undefined

Anti-gamma H2A.X (phospho S139) antibody [3F2](AB22551)

Anti-gamma H2A.X (phospho S139) antibody [3F2](AB22551)

Anti-gamma H2A.X (phospho S139) antibody [3F2](AB22551)

Anti-gamma H2A.X (phospho S139) antibody [3F2](AB22551)

Anti-gamma H2A.X (phospho S139) antibody [3F2](AB22551)

Anti-gamma H2A.X (phospho S139) antibody [3F2](AB22551)

Anti-gamma H2A.X (phospho S139) antibody [3F2](AB22551)

Anti-gamma H2A.X (phospho S139) antibody [3F2](AB22551)

Phospho gamma H2A.X antibody pS139 [3F2] ab22551 is a mouse monoclonal antibody that is used in gamma H2A.X western blotting, IHC, immunofluorescence and flow cytometry. Suitable for human and mouse samples.

- Antibody clone 3F2 has been tried and trusted by researchers since 2005 and is cited in >240 publications
- One antibody for all your gamma H2A.X staining, use in gamma H2A.X western blotting, IHC, immunofluorescence and flow cytometry
Specifications
Shipped At Conditions Blue Ice
Appropriate Long term Storage Conditions Store at -20°C.
Clonality Monoclonal
Applications Flow Cyt, ICC/IF, IHC-P, WB
Species Reactivity Human, Mouse
Isotype IgG1