JavaScript is disabled in your browser. Please enable JavaScript to view this website.

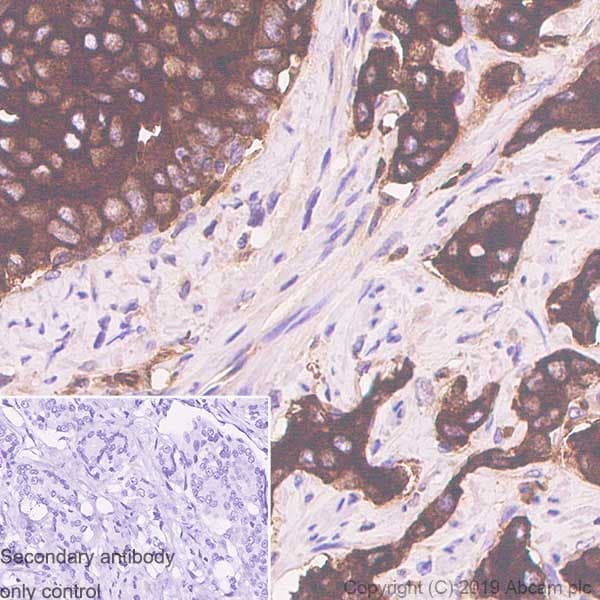
Anti-PAP antibody [SP313](ab224802)

$undefined

Anti-PAP antibody [SP313](ab224802)

Rabbit Recombinant Monoclonal PAP antibody. Suitable for IHC-P, Flow Cyt and reacts with Human samples.
Specifications
Shipped At Conditions Blue Ice
Appropriate Long term Storage Conditions Store at -20°C.
Clonality Monoclonal
Applications Flow Cyt, IHC-P
Species Reactivity Human
Isotype IgG