JavaScript is disabled in your browser. Please enable JavaScript to view this website.

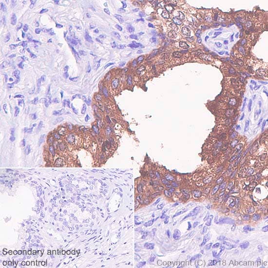
Anti-Prostate Specific Antigen antibody [SP317](ab224799)

$undefined

Anti-Prostate Specific Antigen antibody [SP317](ab224799)

Anti-Prostate Specific Antigen antibody [SP317](ab224799)

Anti-Prostate Specific Antigen antibody [SP317](ab224799)

Rabbit Monoclonal Prostate Specific Antigen antibody. Suitable for WB, IHC-P and reacts with Human samples. Cited in 2 publications.
Specifications
Shipped At Conditions Blue Ice
Appropriate Long term Storage Conditions Store at -20°C.
Clonality Monoclonal
Applications IHC-P, WB
Species Reactivity Human
Isotype IgG