JavaScript is disabled in your browser. Please enable JavaScript to view this website.

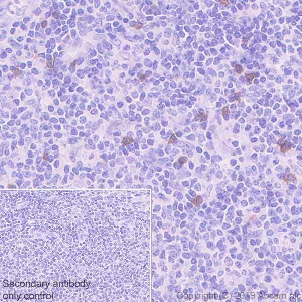
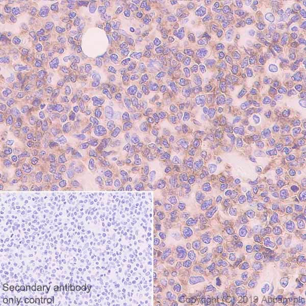
Anti-NCR1 antibody [EPR22403-57](ab224703)

$undefined

Anti-NCR1 antibody [EPR22403-57](ab224703)

Anti-NCR1 antibody [EPR22403-57](ab224703)

Anti-NCR1 antibody [EPR22403-57](ab224703)

Anti-NCR1 antibody [EPR22403-57] ab224703 is a rabbit monoclonal antibody that is used in NCR1 IHC. Suitable for human samples.

- Recombinant format for unrivaled batch-batch consistency: no need for same-lot requests
- Specificity and sensitivity confirmed in IHC with multi-tissue microarray (TMA) validation
Specifications
Shipped At Conditions Blue Ice
Appropriate Long term Storage Conditions Store at -20°C.
Clonality Monoclonal
Applications Flow Cyt, ICC/IF, IHC-P, IP
Species Reactivity Human
Isotype IgG