JavaScript is disabled in your browser. Please enable JavaScript to view this website.

Anti-MICA + MICB antibody [EPR22031](ab224702)

$undefined

Anti-MICA + MICB antibody [EPR22031](ab224702)

Anti-MICA + MICB antibody [EPR22031](ab224702)

Anti-MICA + MICB antibody [EPR22031](ab224702)

Anti-MICA + MICB antibody [EPR22031](ab224702)

Anti-MICA + MICB antibody [EPR22031](ab224702)

Anti-MICA + MICB antibody [EPR22031](ab224702)

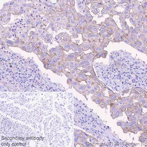
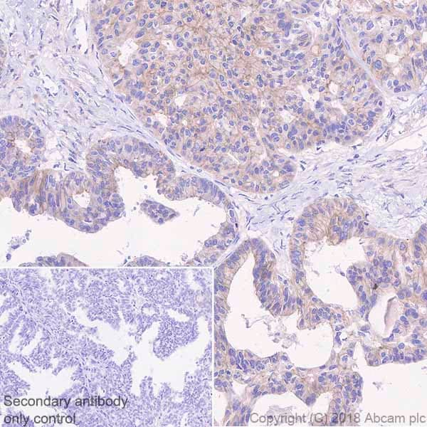
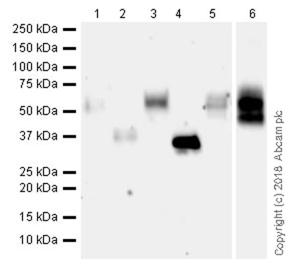
Knockout Tested Rabbit Recombinant Monoclonal MICA antibody. Suitable for WB, IHC-P and reacts with Human samples. Cited in 3 publications.
Specifications
Shipped At Conditions Blue Ice
Appropriate Long term Storage Conditions Store at -20°C.
Clonality Monoclonal
Applications IHC-P, WB
Species Reactivity Human
Isotype IgG