JavaScript is disabled in your browser. Please enable JavaScript to view this website.

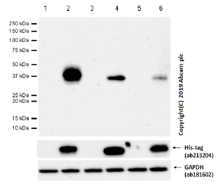
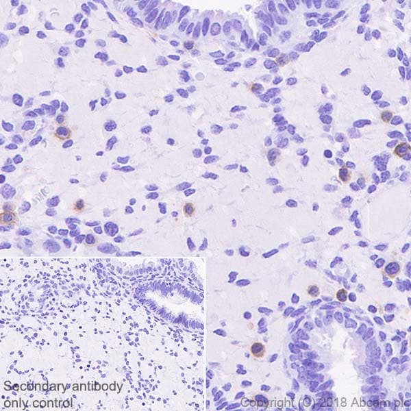
Anti-NKG2A + NKG2E + NKG2C antibody [EPR22137](ab224699)

$undefined

Anti-NKG2A + NKG2E + NKG2C antibody [EPR22137](ab224699)

Anti-NKG2A + NKG2E + NKG2C antibody [EPR22137](ab224699)

Rabbit Recombinant Monoclonal NKG2A antibody. Suitable for WB, IHC-P and reacts with Human samples.
Specifications
Shipped At Conditions Blue Ice
Appropriate Long term Storage Conditions Store at -20°C.
Clonality Monoclonal
Applications IHC-P, WB
Species Reactivity Human
Isotype IgG