JavaScript is disabled in your browser. Please enable JavaScript to view this website.

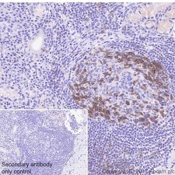
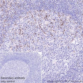
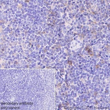
Anti-ICOS antibody [EPR20560](ab224644)

$undefined

Anti-ICOS antibody [EPR20560](ab224644)

Anti-ICOS antibody [EPR20560](ab224644)

Anti-ICOS antibody [EPR20560](ab224644)

Anti-ICOS antibody [EPR20560](ab224644)

Anti-ICOS antibody [EPR20560](ab224644)

Anti-ICOS antibody [EPR20560](ab224644)

Anti-ICOS antibody [EPR20560](ab224644)

Anti-ICOS antibody [EPR20560](ab224644)

Anti-ICOS antibody [EPR20560](ab224644)

Rabbit Recombinant Monoclonal ICOS antibody. Suitable for IP, WB, IHC-P and reacts with Human, Mouse, Rat samples. Cited in 5 publications.
Specifications
Shipped At Conditions Blue Ice
Appropriate Long term Storage Conditions Store at -20°C.
Clonality Monoclonal
Applications IHC-P, IP, WB
Species Reactivity Human, Mouse, Rat
Isotype IgG