JavaScript is disabled in your browser. Please enable JavaScript to view this website.

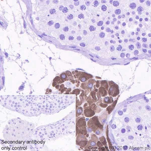
Anti-INSL3 antibody [EPR20747](ab224643)

$undefined

Anti-INSL3 antibody [EPR20747](ab224643)

Anti-INSL3 antibody [EPR20747](ab224643)

Anti-INSL3 antibody [EPR20747](ab224643)

Anti-INSL3 antibody [EPR20747](ab224643)

Rabbit Recombinant Monoclonal INSL3 antibody. Suitable for IP, IHC-P and reacts with Human samples.
Specifications
Shipped At Conditions Blue Ice
Appropriate Long term Storage Conditions Store at -20°C.
Clonality Monoclonal
Applications IHC-P, IP
Species Reactivity Human
Isotype IgG