JavaScript is disabled in your browser. Please enable JavaScript to view this website.

Anti-SOX17 antibody [EPR20684](ab224637)

$undefined

Anti-SOX17 antibody [EPR20684](ab224637)

Anti-SOX17 antibody [EPR20684](ab224637)

Anti-SOX17 antibody [EPR20684](ab224637)

Anti-SOX17 antibody [EPR20684](ab224637)

Anti-SOX17 antibody [EPR20684](ab224637)

Anti-SOX17 antibody [EPR20684](ab224637)

Anti-SOX17 antibody [EPR20684](ab224637)

Anti-SOX17 antibody [EPR20684](ab224637)

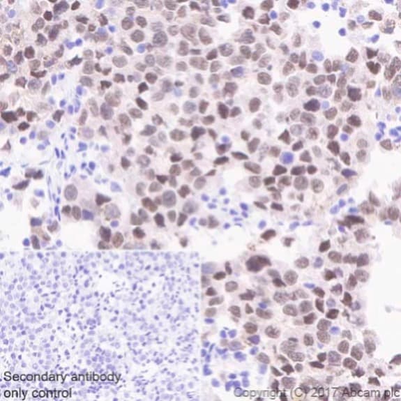
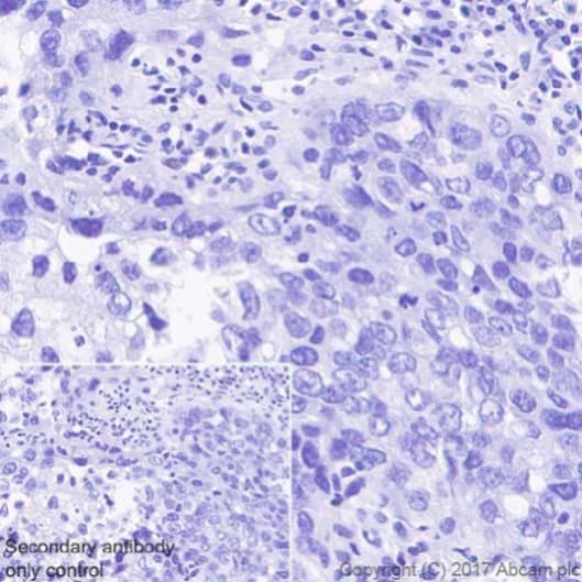
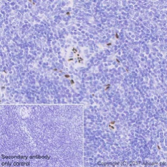
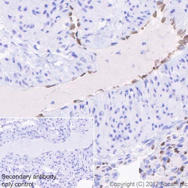
Anti-SOX17 antibody [EPR20684] ab224637 is a rabbit monoclonal antibody that is used in SOX17 western blotting, IHC and immunofluorescence. Suitable for human, mouse and rat samples.

- Recombinant format for unrivaled batch-batch consistency: no need for same-lot requests
- Specificity confirmed with SOX17 knockout cell line validation
- Specificity and sensitivity confirmed in IHC with multi-tissue microarray (TMA) validation
Specifications
Shipped At Conditions Blue Ice
Appropriate Long term Storage Conditions Store at -20°C.
Clonality Monoclonal
Applications ICC/IF, IHC-P, IP, WB
Species Reactivity Human, Mouse, Rat
Isotype IgG