JavaScript is disabled in your browser. Please enable JavaScript to view this website.

Anti-Uroplakin II/UPII antibody [EPR18799] - BSA and Azide free(AB224261)

$undefined

Anti-Uroplakin II/UPII antibody [EPR18799] - BSA and Azide free(AB224261)

Anti-Uroplakin II/UPII antibody [EPR18799] - BSA and Azide free(AB224261)

Anti-Uroplakin II/UPII antibody [EPR18799] - BSA and Azide free(AB224261)

Anti-Uroplakin II/UPII antibody [EPR18799] - BSA and Azide free(AB224261)

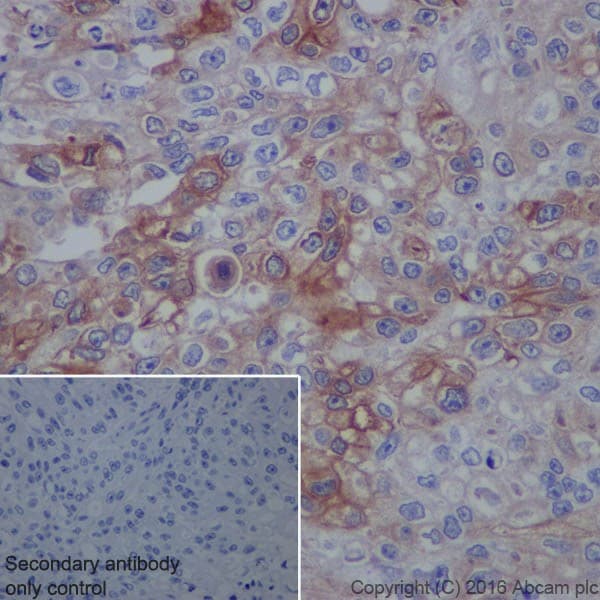
Rabbit Recombinant Monoclonal Uroplakin II/UPII antibody. Carrier free. Suitable for IHC-P and reacts with Human samples.
Specifications
Shipped At Conditions Blue Ice
Appropriate Long term Storage Conditions Store at +4°C.
Clonality Monoclonal
Applications IHC-P
Species Reactivity Human
Isotype IgG