JavaScript is disabled in your browser. Please enable JavaScript to view this website.

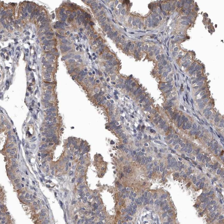
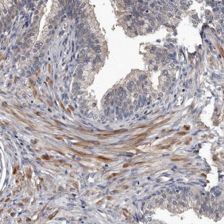
Anti-DHPS/DHS antibody(AB224134)

$undefined

Anti-DHPS/DHS antibody(AB224134)

Anti-DHPS/DHS antibody(AB224134)

Anti-DHPS/DHS antibody(AB224134)

Anti-DHPS/DHS antibody(AB224134)

Anti-DHPS/DHS antibody(AB224134)

Rabbit Polyclonal DHPS/DHS antibody. Suitable for IHC-P, WB, ICC/IF and reacts with Human samples. Cited in 1 publication. Immunogen corresponding to Recombinant Fragment Protein within Human DHPS aa 1-150.
Specifications
Shipped At Conditions Blue Ice
Appropriate Long term Storage Conditions Store at -20°C.
Clonality Polyclonal
Applications ICC/IF, IHC-P, WB
Species Reactivity Human
Isotype IgG