JavaScript is disabled in your browser. Please enable JavaScript to view this website.

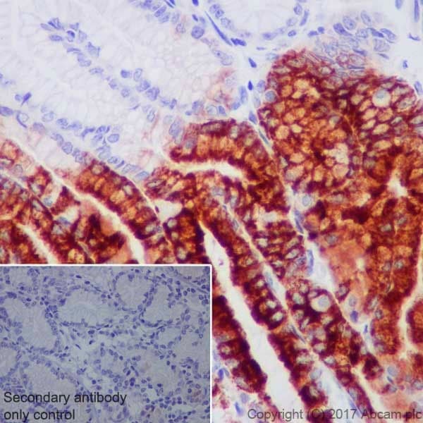
Anti-Gastric Mucin/MUC-6 antibody [EPR20623](AB223846)

$undefined

Anti-Gastric Mucin/MUC-6 antibody [EPR20623](AB223846)

Anti-Gastric Mucin/MUC-6 antibody [EPR20623](AB223846)

Anti-Gastric Mucin/MUC-6 antibody [EPR20623](AB223846)

Anti-Gastric Mucin/MUC-6 antibody [EPR20623](AB223846)

Anti-Gastric Mucin/MUC-6 antibody [EPR20623](AB223846)

Rabbit Recombinant Monoclonal Gastric Mucin/MUC-6 antibody. Suitable for mIHC, IHC-P and reacts with Human samples. Cited in 1 publication.
Specifications
Shipped At Conditions Blue Ice
Appropriate Long term Storage Conditions Store at -20°C.
Clonality Monoclonal
Applications IHC-P, mIHC
Species Reactivity Human
Isotype IgG